皮肤不撒谎,红脸肌尴尬了(上)
双颊泛红的女生让人觉得可爱,像个红扑扑的苹果。双颊泛红是因为面部皮肤气血充盈,一般如情绪起伏、运动后或喝酒时会出现。不过,高血压、免疫系统疾病还有问题皮肤等非健康情况下也会伴随出现双颊泛红。



人体就像一个精密组合的仪器,作为主要部件的皮肤是不会撒谎的。当皮肤敏感了,就会表现出泛红、发热、瘙痒、刺痛等。
这种皮肤不耐受的状态是由于皮肤屏障受损,比如角质层和皮脂膜被破坏而引起的,使得我们的皮肤对属于正常范围的刺激产生了过激反应。
其实,皮肤敏感分先天性和后天性。有些人天生就容易敏感,即使小心翼翼。而有些人则是因为后天美肤护肤方式不当,破坏了皮肤屏障,比如乱用或滥用含刺激成分的、不合规的、来源不明的护肤品
糖皮质激素在皮肤科应用很广,是皮炎湿疹等许多皮肤疾病不可或缺的外用药。而滥用则会产生糖皮质激素依赖性皮炎,一旦停药原有皮肤病会复发甚至加重,迫使患者再次使用糖皮质激素制剂缓解症状。所以,激素是一把“双刃剑”。
医生会针对不同的皮肤病以及不同的部位慎重选用不同的激素制剂。所有的激素制剂,连续外用不能超过两周。强效及超强效的不宜用于儿童,也不宜用于面部及褶皱部位。

大家不要以为只有使用含有激素的药膏才会导致激素依赖性皮炎。由于激素具有消炎退红、抑制黑素生成、水钠储溜的作用,使用后可以瞬间美白、嫩肤,功效明显,满足了许多求美者求快、廉价等诉求,于是,一些不良商家故意添加激素以提升产品或服务的功效,殊不知给求美者造成的是多大麻烦。
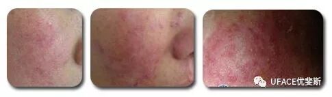
糖皮质激素依赖性皮炎主要表现
Ø 皮肤变薄、发亮,潮红伴毛细血管扩张;
Ø 痤疮样皮炎:粉刺、丘疹及脓疱;
Ø 色素沉着或色素减退;
Ø 皮肤老化:皮肤干燥、脱屑、易挫伤,亦可粗糙,甚至萎缩;
Ø 毳毛增粗变长;


激素依赖性皮炎是可以治愈的,只是疗程会比较长,“病去如抽丝”,要树立信心并认真配合医生,通过制定个性化的护理与方案耐心进行皮肤屏障修复。
在专业医生指导下,综合全面;
加强心理、知识辅导沟通;
使用药物及物理治疗等。
还有非常重要的,需要长期使用的手段:外用医学护肤品来修复、舒缓受损的皮肤屏障。
主要成分是表皮生长因子的优斐斯(UFACE)多效修护液有加速创面愈合,促进皮肤新陈代谢、巩固修复屏障、舒缓皮肤的从而改善敏感性皮肤、激素依赖性皮肤、长期使用不良化妆品及频繁创伤性治疗造成的皮肤问题。

核心成分为神经酰胺的优斐斯(UFACE)活肤舒缓修护面膜可以承担起皮肤健康、屏障修护、舒缓镇静、补水保湿及营养滋润的重要作用。而选用的日本进口纯天然蚕丝材质膜,纤维触手可与面部肌肤实现完美贴合,促进有效成分吸收,减少皮肤过敏。


可造成“红脸肌”的问题皮肤除了激素依赖性皮炎,还有敏感性肌肤等,这些问题因为处理方式的不同需要认真鉴别,请大家留意后面的推送,我们精彩继续。
购物袋(




